Dr. Christian Stadler,
15, rue de Vern
35200 RENNES
Tél. : 0299502240
Recherche
par mot-clés

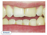
L'expertise des chirurgiiens-dentistes en matière de blanchiment permet de traiter la quasi-totalité des cas de figure avec un résultat tel que montré sur les photos ci-contre.
Il existe de nombreux procédés pour influencer la teinte de votre émail, votre chirurgien-dentiste saura faire le bon diagnostic et vous proposer le procédé adapté à votre cas personnel:au cabinet ou chez vous, suivant la spécificité de votre bouche.